Search for:
+380972728353; +380732728354
Email:
berrydent@ukr.net
Вулиця Михайла Максимовича. 3 Д , 2 поверх
Головна
Наші лікарі
Про клініку
Статті
Договір
Наші роботи
Наші послуги
Лікування зубів
Дитяча стоматологія
Професійна гігієна ротової порожнини
Парадонтологічне лікування
Хірургія ротової порожнини
Імплантація зубів
Естетична стоматологія
Протезування зубів
Ортодонтія
Комп’ютерна діагностика
Седація Закис Азоту для дітей
Лікування зубів в медикаментозному сні
Анестезіологічний супровід пацієнтів з тяжкою алергією
Ціни
Контакти
Записатись на прийом
Реставрація зубів
Журавлина
>
Реставрація зубів
Реставрації, фотополімер Gradia
Реставрації, фотополімер Asteria
Реставрації, фотополімер Asteria №2
Реставрації, фотополімер Asteria №3
Реставрації, фотополімер Gradia №2
Реставрація, фотополымер Gradia №3
Реставрації, фотополімер Asteria №4
Реставрація, фотополымер Gradia №3
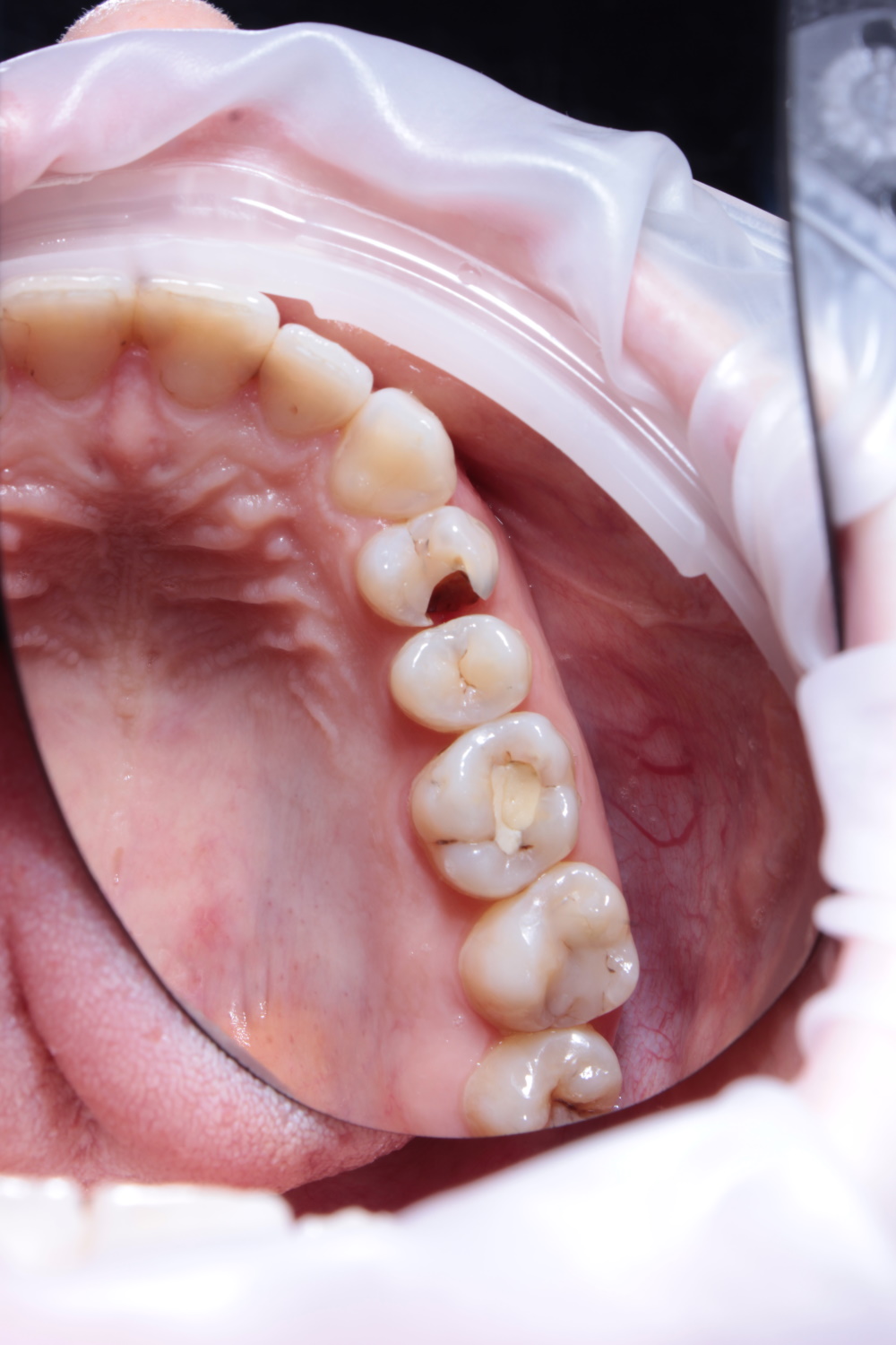
Реставрації, робота в кофердамі
Реставрації, фотополімер Asteria №5
Реставрація, фотополімер Gradia №4
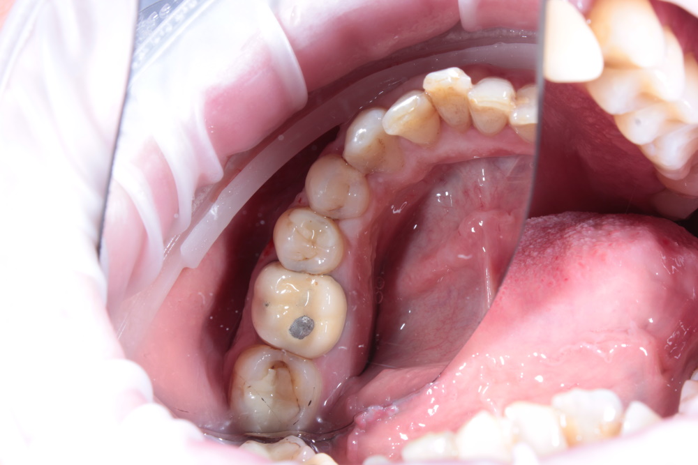
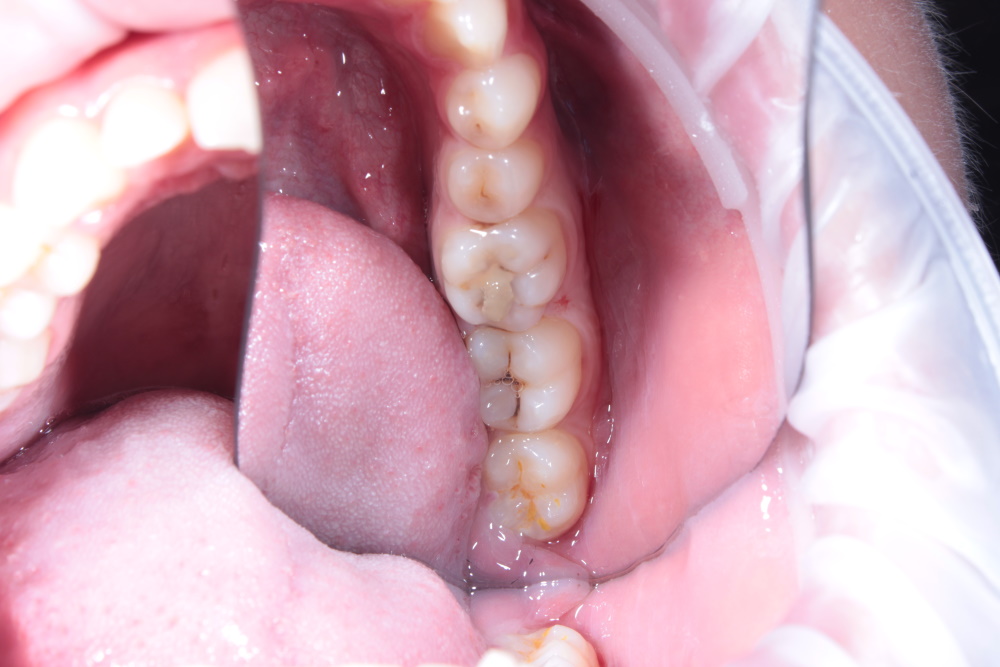
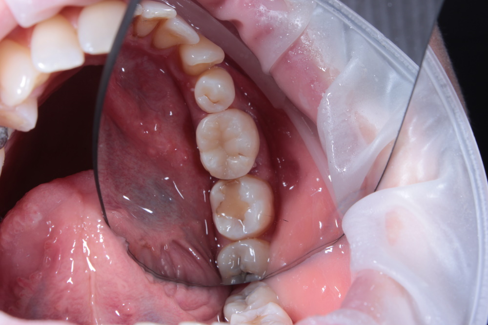
Реставрації
X