Система імплантів NEOBIOTECH
Система імплантів NTA IMPLANT
Система імплантів NTA IMPLANT SHORTER
Синус-ліфтинг закритий
Синус-ліфтинг відкритий
Процедура A-PRF
Протезування зубів на імплантах
КТ – діагностика ротової порожнини
Етапи імплантації
- 150$ імплант
- 200$ металокерамічна коронка на імплант
- 200$ імплант
- 250$ металокерамічна коронка на імплант
- 350$ імплант
- 250$ металокерамічна коронка на імплант
Чому Журавлина?
- Імплантолог зі стажем роботи 20 років
У вартість включено:
- Консультація стоматолога
- Індивідуальний план лікування
- Імплант: neoВiotech, nta, nta shorter
- Процедура імплантації німецьким лазером KAVO KEY 3
Імплантація зубів –
сучасний і досить прогресивний спосіб відновлення повністю втрачених зубів. Однак сучасна стоматологія вважає проведення імплантації необхідної лише при наявності строго певних умов (показань). Більш того, на сучасному етапі імплантацію радять робити лише в тому випадку, коли ортопедичні методи не дають бажаного результату. Це цілком виправдано і зрозуміло, адже імплантація є досить серйозним хірургічним втручанням. Успіх операції багато в чому визначається наявністю показань і відсутністю протипоказань для її проведення. Саме тому необхідним є дотримання імплантації тільки при дотриманні цих умов.
Найголовнішим показанням до застосування стоматологічних (дентальних) імплантатів є одиночний дефект зубного ряду при інтактних, тобто здорових сусідніх зубах. Це означає, що основною передумовою застосування одиночних дентальних імплантатів є наявність здорових сусідніх зубів і бажання зберегти їх такими, наприклад, щоб не обточувати їх під коронки мостовидних протезів та інших видів конструкцій.
Ще одне показання – обмежені включені дефекти зубного ряду. Тобто якщо у людини відсутній поспіль 2-3 зуба, то їх можна відновити методом імплантації зубів. В даному випадку можливі кілька варіантів виконання, які дають свободу творчості для стоматолога і можливість вибору для пацієнта.
Наступне показання: кінцеві дефекти зубного ряду, тобто коли немає останніх зубів в ряду. Цей вид дефектів викликав і продовжує викликати труднощі при інших видах протезування, адже для класичного протеза існує лише одна точка опори у вигляді попереднього зуба. У разі імплантації зуба це питання знімається – імплантату майже байдуже наявність зубів в його оточенні.
Повна відсутність зубів, особливо при зниженні висоти альвеолярних відростків. Даний вид адентії є показанням, як до імплантації, так і до знімного протезування. Але якщо людина морально не готова до того, щоб на ніч виймати протез з рота, тобто класти зуби на полицю, то в якості альтернативного методу лікування, можна використовувати імплантацію зубів.
Непереносимість знімних протезів внаслідок підвищеної чутливості до акрилатами (основного компоненту знімних протезів) або при вираженому блювотний рефлекс. Тут все зрозуміло: якщо людина не може носити знімний протез, то часто єдина альтернатива – імплантація зубів.
Відсутність функціональної оклюзії (змикання зубів) і як наслідок – виникнення больового синдрому.
Захворювання крові та кровотворних органів. Наприклад, порушення згортання крові робить будь-яку операцію неможливою в силу розвитку серйозних кровотеч.
Захворювання центральної нервової системи (як вроджені, так і набуті). Найяскравішим прикладом є психічні захворювання, при яких пацієнт може неадекватно сприйняти інформацію про правила поведінки під час і після лікування.
Злоякісні новоутворення різних органів і систем (рак, саркома). Хірургічне втручання може вплинути на ріст і метастазування пухлини, іммунопатологічного стану (хірургічні втручання обов’язково вимагають деякого часу активної і досить напруженої роботи імунної системи для нормального загоєння тканин після операції)
Системні захворювання сполучної тканини. Імплантація вельми вимоглива до зростання і розвитку сполучної тканини навколо імплантату, тому такі захворювання як системний червоний вовчак, склеродермія, ревматичні, ревматоїдні і ін. Захворювання роблять процес установки імплантату неможливим
Туберкульоз та його ускладнення
Деякі захворювання слизової оболонки ротової порожнини: хронічний рецидивуючий афтозний стоматит, червоний вовчак, пухирчатка, синдром Шегрена та ін.
Цукровий діабет I типу
Гіпертонус жувальних м’язів, бруксизм. Отже, список показань і протипоказань, що стосуються імплантації зубів досить широкий і розібратися в них під силу лише фахівцеві. У більшості випадків попередня підготовка і лікування пацієнта (як місцеве, так і загальне), дозволяють успішно позбутися від багатьох протипоказань або настільки зменшити їх вплив, що відкривається перспектива успішної імплантації зубів. Отже, якщо пацієнт наполягає на проведенні імплантації, то можна спробувати підготувати організм і відновити зубний ряд. Головне – злагоджена робота лікаря і пацієнта, яка допоможе позбутися від протипоказань і провести імплантацію максимально ефективно і без ускладнень.
Етапи імплантації зубів
Імплантація зубів – процедура, що вимагає суворого дотримання встановленого протоколу лікувально-діагностичних заходів, що включає кілька етапів імплантації зубів. Кількість і характер етапів імплантації можуть відрізнятися в залежності від початкового стану зубощелепного апарату пацієнта, а також обраного виду і методики проведення самої процедури установки імплантів – одно або двоетапної.
Двоетапна методика є найбільш надійною і прогнозованою, вона відрізняється дуже високими показниками приживлюваності імплантатів (97-98%), а встановлені з її використанням штучні зуби можуть прослужити 15-20 років, а нерідко і довше. Процедура встановлення дентальних імплантів по двоетапній методиці можна виділити 3 основних етапи імплантації:
- Підготовчий.
- Хірургічний.
- Ортопедичний.
На підготовчому етапі імплантації проводиться візуальний огляд з метою оцінки стану зубів і зубнощелепного апарату, а також ряд діагностичних заходів з використанням інструментальних і лабораторних методів дослідження. Головне завдання, яке стоїть перед хірургом-імплантологом на цьому етапі – оцінити принципову можливість проведення процедури імплантації у конкретного пацієнта, а також вибрати оптимальний варіант її проведення, конструкцію системи імплантації, тип установлюваної на неї супраструктури – одиночних коронок або мостоподібної конструкції.
Найактивнішу участь у всіх заходах на цьому етапі імплантації приймає сам пацієнт, так як саме від його рішення багато в чому залежить, який вид імплантації буде обраний, імпланти якого виробника буде для цього використані, як і з застосуванням якої конструкції буде проводитися протезування на встановлених імплантатах . Ну і, звичайно ж, людина зможе зорієнтуватися, скільки буде коштувати вся процедура.
На підготовчому етапі оцінюються, перш за все, показання та протипоказання до проведення даної процедури.У стоматологічній імплантології існує ряд класичних показань до її проведення в залежності від характеру дефектів зубного ряду: одиночний, обмежений – немає 2-3 зубів підряд, кінцевий – відсутність крайніх зубів, а також повна їх відсутність – адентія. Остаточне рішення приймає сам пацієнт: якщо він твердо вирішив, що хоче мати штучні зуби на імплантатах, перешкодити йому в цьому навряд чи хтось зможе.
Протипоказаннями для установки імплантів є важкі захворювання в стадії декомпенсації, коли загальний стан пацієнта не дозволяє провести таке хірургічне втручання. Протипоказана імплантація також при запальних захворюваннях порожнини рота (карієс, пародонтит, гінгівіт, стоматит), незадовільній гігієні ротової порожнини, наявності підлягають видаленню зубів, наявності будь-яких вроджених або придбаних особливостей зубнощелепного апарату, що перешкоджають впровадженню імпланта. Більшість з цих протипоказань є відносними, тобто після усунення причини, яка перешкоджає проведенню імплантації (поліпшення загального стану пацієнта, усунення вогнищ запалення в ротовій порожнині, видалення зруйнованих зубів), вона може все ж може бути проведена.
Для проведення імплантації необхідна наявність достатнього обсягу кісткової тканини. При її дефіциті буде потрібно проведення кісткової пластики. З цією метою може бути використана як власна кісткова тканина пацієнта (аутотрансплантат), так і донорський матеріал (аллотрансплантат), а також синтетичні матеріали (біокераміка, гідроксиапатит, фосфат кальцію) або ксенотрансплантати (на основі кісткової тканини тварин).
Після того, як виключені всі протипоказання, проводяться стандартні для всіх хірургічних втручань лабораторні дослідження – загальноклінічний і біохімічний аналіз крові, визначаються показники згортання крові, а також аналізи на ВІЛ-інфекцію, гепатит В і С, сифіліс. З інструментальних методів дослідження використовується рентгенографія (ортопантомограмма – панорамний знімок зубів), при необхідності – КТ або МРТ верхньої і нижньої щелепи.
І, нарешті, лікар разом з пацієнтом приймають остаточне рішення про те, яка буде використана методика імплантації і имплантаційна система. Залежно від цього хірург-імплантолог складе план проведення імплантації та займеться моделюванням майбутньої схеми будови зубощелепного апарату пацієнта. Чим ретельніше буде складено протокол імплантації, тим менше непередбачених ситуацій і ускладнень виникне в процесі її проведення.
На цьому етапі імплантації здійснюється установка самого імпланту і формувача – перехідника між кореневою частиною імпланта і його супраструктурами. Таким чином, в хірургічному етапі можна виділити два проміжних етапу імплантації:
- Установка імпланта.
- Установка формувача.
При використанні класичної двоетапної методики імплантації спочатку встановлюється сам імплант і лише після його повного і остаточного приживлення на ньому через перехідник (формувач) фіксується супраструктура – коронка або міст. Проміжок між цими двома етапами імплантації становить кілька місяців.
Десна надрізається по гребеню альвеолярнго відростка і відшаровується слизисто-окисний клаптик, щоб створити необхідне поле для роботи хірурга-імплантолога. Далі за допомогою фрез різного діаметру (від меншого до більшого) висвердлюється канал потрібного діаметру і глибини – формується кісткове ложе для штучного кореня. У це ложе встановлюється імплант на необхідну глибину: гвинтові конструкції вкручуються, циліндричні встановлюються незначною натяжкою.
Коли імплант встановлений, в нього вкручують заглушку, яка захищає його від механічних впливів, а також запобігає інфікуванню кісткового ложе і проростання тканин в отвір для гвинта. Після цього слизисто-окисний клаптик укладається на своє колишнє місце, а розріз щільно зашивається. На цьому перший хірургічний етап імплантації закінчується.
Далі йде «перерва», необхідна для надійного приживлення імпланта. Кісткова тканина нижньої щелепи, більш щільна і об’ємна, для цього потрібно 2-3 місяці, в менш щільній губчастій кістці верхньої щелепи він приживається 4-6 місяців.
Коли коренева частина імпланта надійно прижилася, на неї встановлюється формувач, вірніше два його різновиди, які ставляться по черзі. Спочатку встановлюється абатмент, що виконує роль формувача ясен, щоб створити її чіткий рівний контур, не відрізняється від ясенного краю «рідних» зубів. Для цього замість заглушки встановлюється формувач ясен, який виступає над нею на кілька міліметрів. Формування ясенного краю сягає близько 2 тижнів.
Через 2 тижні формувач ясен видаляється і на його місце встановлюється постійний абатмент. За допомогою абатмента можна буде при необхідності відрегулювати довжину коронкової частини імпланта і кут його нахилу. Для цього використовуються абатменти різної довжини і з різним кутом нахилу, що дозволяє максимально точно «вписати» імплант в зубний ряд.
На імплант може бути встановлена «власна» коронка, він також може служити опорою для незнімного або знімного протезу. Варіант протезування вибирається залежно від початкової кількості здорових зубів, а також виходячи з побажань і вимог пацієнта.
Звичайно ж, найкращим є протезування за принципом «один імплант – одна коронка», коли на імплант встановлюється «індивідуальна» коронка, однак такий варіант досить дорогий і зазвичай використовується при відсутності декількох зубів. При відсутності значного числа зубів замінювати їх всі імплантами недоцільно з фінансової точки зору, так як коштувати це буде недешево, більш раціональним буде установка на імпланта мостовидного протеза, коли, наприклад, 2 імпланта стануть опорою для 3-4 штучних зубів. Хоча, звичайно ж, при бажанні пацієнта замінити всі відсутні зуби штучними, це цілком здійсненно – можуть бути встановлені навіть 14 штучних коренів («зуби мудрості» не відновлюються, так як вони не мають особливого функціонального значення).
Які протези можуть бути встановлені на імплантатах? Та які завгодно – незнімні, знімні, умовно-знімні, комбіновані. Незнімні протези можуть бути закріплені як за допомогою цементної, так і гвинтової фіксації (такий протез, по суті, є умовно-знімним). Знімні протези фіксуються за допомогою кулястої опори або балочної конструкції.
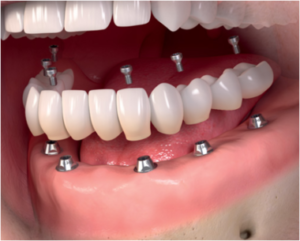
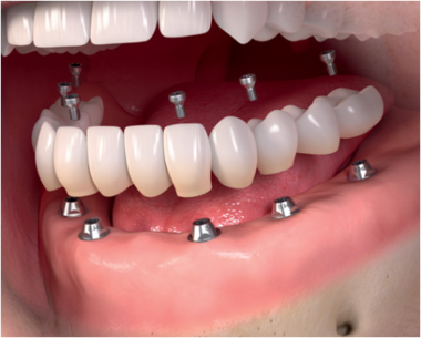
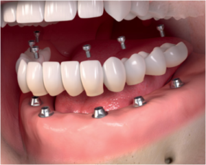
Які варіанти протезування існують при адентії – повній відсутності зубів? Найбільш надійний і ефективний як з функціональної, так і з естетичної точки зору, варіант протезування – установка «незнімніка» на 6-8 імплантатах (класичний варіант – на 8 імплантатах, більш економічний – «All-on-6» – на 6 імплантатах) . Існує також технологія протезування за технологією «All-on-4» ( «все на 4»), коли в якості опори для протеза використовується всього 4 імпланта. На них можна встановити як знімний, так і незнімний протез, хоча, звичайно ж, конструкція «незнімніка» на 4 опорах буде менш надійною і стабільною, ніж на 6 або 8. Існує також надекономічний варіант знімного протезування – всього лише на 2-3 імплантатах , їх буде цілком достатньо для надійної фіксації «знімача».
ІМПЛАНТИ ALPHA BIO (АЛЬФА БІО)
Імпланти Alpha Bio – це продукт широко відомого у всьому світі ізраїльського бренду. В Україні вже протягом більше двох десятиліть імпланти Alpha Bio користуються стабільним підвищеним попитом у пацієнтів і лікарів імплантологів, отримали гідну клініко-функціональну оцінку застосування.
Стоматологічна галузь в Ізраїлі не перестає розвиватися. Багаторічні дослідження, розробки і успішне впровадження нових технологічних прийомів обробки імплантаційні матеріалів підвищують біо-механічні властивості імплантів Alpha Bio (Альфа Біо) по праву утримують продукти цього бренду в числі самих затребуваних. Популярність дентальних імплантів Альфа Біо виправдана не тільки доступною ціною імплантації, лікарі справедливо визнають зручність і простоту застосування, розширені можливості використання компонентів системи.
Численні позитивні відгуки пацієнтів і лікарів підтверджують оптимальне співвідношення гідної якості продукту і порівняно низьку ціну ізраїльських імплантів Альфа Біо, завдяки чому вони впевнено зайняли велику нішу серед «бюджетних» недорогих імплантів зубів в Києві.
ЧОМУ ВИ ПРАЦЮЄТЕ З ІМПЛАНТАЦІЙНИМИ СИСТЕМАМИ КОМПАНІЇ NTA IMPLANT, NTA SHORTER IMPLANT?
Компанія NTA implant Сompany Group пропонує рішення в стоматології, виробляючи високоякісні зубні імпланти. Компанія є новатором у галузі розробки гвинтових та попередньо-встановлених систем імплантації. Імпланти представлені двома типами «Screw-type» (вкручені) та «Pressfit» (прес-фіт) під торговими марками NTA implant, NTA Shorter implant, NTA Shorter implant Plus, NTA Hybrid implant.
Сертифікати якості компанії NTA ІСЄ це FAA, CE, ISO, 9001, 2015р, ISO 13485: 2016 та ISO 10002 2014р.
Дослідження, розробка та виробництво продукції проходить за участю партнерів у США (розробка) Швейцарії (виробництво) Франції (дослідження)
Покриття NTA отримують обробкою поверхні металу пісконструменем з використанням частинок корунду, що забезпечує макрошершавість імпланту (дрібні ямки 2-4 мм на грубій поверхні). Цей процес супроводжується сильним кислотним травленням, замочуванням у високотемпературному розчині HCL протягом декількох хвилин. Як результат, поверхня не є мікропористою, що забезпечує зменшення вразливості бактерій (знижує ризик відторгнення, запальних процесів).
Платформа імпланту NTA implant. З’єднання абатменту розташуване ближче до центру імпланту та подалі від поверхні розділу імплант-кістка. В додаток до наміченого з’єднати, це забезпечує збереження кісткової тканини в процесі служби імпланту (для NTA implant втрати кістки, її розсмоктування є рідкісним явищем).
NTA ІМПЛАНТ SHORTER

Короткі імпланти полекшують встановлення імплантів і рідко потребують процедури пересадки кісткової тканини. Це дає можливість у багатьох випадках уникнути таких складних операцій як синус- ліфтинг, зміщення нервів, що є перевагою як для лікаря, так і для пацієнта.
NTA імплант Shorter мають гідроксиапатитне покриття, що забезпечує швидку та надійну остеоітеграцію(приживання).
NTA імплант Shorter мають термоплазмове напилення – єдина одобрена FDA технологія нанесення покриття HA (Hidroxyapatite)
NTA імплант Shorter має 1,5 градус конус фіксації (кутова орієнтація імпланта). Конічне з’єднання конуса фіксації забезпечує бактеріальне ущільнення на інтерфейсі імплант-абатмент.
NTA імплант Shorter мають кут нахилу плеча імпланта, що забезпечує гнучкість при встановленні і в подальшому безпечну взаємодію з кісткою пацієнта.
NTA імплант Shorter встановлюють системою низькошвидкісного свердління, що дозволяє збирати отологічну кістку. Це забезпечує максимальну остеінтеграцію та мінімізує перегрів кісткової тканини.
NTA IMPLANT

Високоякісні імпланти, мають циліндричну, конічну конфігурацію. Виготовлені з титану мають конічне з’єднання з абатментом.
Покриття NTA отримують обробкою поверхні металу пісконструменем з використанням частинок корунду, що забезпечує макрошершавість імпланту (дрібні ямки 2-4 мм на грубій поверхні). Цей процес супроводжується сильним кислотним травленням, замочуванням у високотемпературному розчині HCL протягом декількох хвилин. Як результат, поверхня не є мікропористою, що забезпечує зменшення вразливості бактерій (знижує ризик відторгнення, запальних процесів).
Платформа імпланту NTA implant. З’єднання абатменту розташуване ближче до центру імпланту та подалі від поверхні розділу імплант-кістка. В додаток до наміченого з’єднання, це забезпечує збереження кісткової тканини в процесі служби імпланту (для NTA implant втрати кістки, її розсмоктування є рідкісним явищем).
NTA implant має поверхню вкриту SLA
NTA implant відсутня система тримача, що забезпечує гнучке з’єднання системи імплант-абатмент.
NTA implant кут нахилу 11 градусів забезпечує безпечне максилярне розміщення(кісткове).
Протезування на імплантах
Сьогодні все частіше пацієнти звертаються за стоматологічною допомогою для повного протезування на імплантатах одного зубного ряду або обох щелеп.
Імплантація з подальшим протезуванням на імплантатах при повній відсутності зубів дає естетичне рішення даної проблеми в довгостроковому періоді.
Природне бажання пацієнта відчувати зручність при носінні протеза формує високі функціональні вимоги.
Повние протезування зубів на імплантатах здійснюється класичним методом установки дентальних імплантів, як опори майбутнього протеза, це забезпечує надійність кріплення і гарантує максимально тривале збереження протезної конструкції, що збільшує період її експлуатації в справному стані під дією щоденних фізичних навантажень.
Повние протезування зубів на імплантатах, в залежності від способу фіксації конструкції ділять на види:
Повне знімне
протезування на імплантатах або умовно – знімне протезування показано при значній втраті обсягу кісткового масиву. Для кріплення знімних протезів конструкцій досить встановити від 2 до 4 імплантів.
Незнімне протезування зубів на імплантатах
Для незнімного повного протезування зубів на імплантатах потрібно встановити від 6 до 8 імплантів – опор. При необхідності проводиться аугментація (нарощування) кісткової тканини ( синус – ліфтинг ) в окремих передбачуваних ділянках імплантації імплантів.
Найчастіше видалення зубів відбувається не в один момент, тому при повній адентії спостерігається неоднаковий стан твердих тканин в окремих сегментах щелепної кістки. Від цього залежить який спосіб краще вибрати для повного протезування на імплантатах, ціна так само змінитися, якщо буде потрібна пластика альвеолярної кістки.
Для виконання робіт з повного протезування на імплантатах штучні ясна обов’язково присутні при виготовленні знімних протезів конструкцій. Штучні ясна при повному протезуванні щелепи є складовими елементами знімного протезу, які стабілізують саму протезну конструкцію і допомагають рівномірно розподіляти функціональне жувальне навантаження.
При незнімному повному протезуванні зубів на імплантатах, необхідність штучних ясен визначається в залежності від рельєфу і об’єму опорної кістки пацієнта і можливості проведення операції з нарощування кісткової тканини в передбачуваній зоні імплантації.
При виконанні протезування на імплантатах при повній відсутності зубів, ціна всіх робіт визначається лікарем на консультації. При цьому, найчастіше пацієнт орієнтується на вартість імплантів певної системи імплантації, і далі вже лікар визначає оптимальну кількість імплантів, які можна встановити, в залежності від стану кісткової тканини щелепи і відповідно до цих даних підбирає тип протезної конструкції.
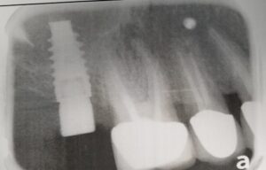
Синус ліфтинг
Операція синус ліфтинг
Це хірургічна операція по нарощуванню кісткової тканини в бічних відділах верхньої щелепи, для якісного встановлення імплантатів.
Як одна з методик автокісткової пластики, синус ліфтинг щелепи дозволяє відновити необхідний обсяг кісткової тканини альвеолярного відростка в передбачуваній області фіксації імплантату, за рахунок зменшення простору верхньощелепної (гайморової) пазухи.
Гайморова пазуха (лат. Sinus) – це порожнина в кістці, внутрішня поверхня якої вистелена слизовою оболонкою, мембраною Шнайдера, і в здоровому стані, заповнена повітрям, завдяки повідомленню з порожниною носа.
При сприятливому проведенні операції синус ліфтингу лікар-хірург спостерігає її рух в процесі дихання пацієнта.
Верхньощелепна пазуха є частиною передньої поверхні верхньої щелепи і утворена тонкою кортикальною платівкою, товщини якої цілком достатньо для формування власних зубів.
Найбільш часто верхівки коренів молярів розташовуються в безпосередній близькості від дна синуса, але бувають випадки, коли корінь зуба виходить в порожнину синуса і мембрана гайморової пазухи його прикриває.
Анатомічне розташування гайморової пазухи формується нижнім краєм підочного отвору який визначає верхню межу доступу при нарощуванні кісткової тканини, і має тісний зв’язок з верхньощелепної пазухою, жувальними зубами – нижньою межею доступу.
Після втрати верхніх жувальних зубів зникає навантаження на опорну кісткову тканину верхньої щелепи і, розташована над ними повітряна камера, особливо з часом, заповнює собою звільнений від коренів зубів простір.
Цей процес пневматизації фіксується лікарем хірургом при діагностичному рентгенологічному обстеженні на різних стадіях його розвитку.
Видалення верхніх жувальних зубів запускає процес резорбції, тобто відбувається спад обсягу кісткової тканини в результаті припинення функціонування кістки, а саме, підтримки зубного кореня.
Відсутність жувального навантаження на поверхні бічних зубів верхньої щелепи, внаслідок адентії, є причиною розвитку атрофії кісткової тканини щелепи, іншими словами, вже через три місяці після видалення зуба, починається прогресуюче зменшення висоти і ширини альвеолярного відростка.
Недостатня товщина опорної кістки створює несприятливі умови для установки і надійного утримання імплантату.
Даний клінічний випадок ускладнює використання дентальних імплантатів для відновлення дефектів зубного ряду і є показанням для проведення синус-ліфтингу верхньої щелепи.
Імплантація зубів в умовах показаних до проведення синус-ліфтингу верхньої щелепи, але не зробленого, буде фізіологічно тканиною остеоінтегрована, але при положенні шийки імплантату врівень з альвеолярним краєм неминучий прорив пазухи і перфорація Шнейдерової мембрани, що в тривалій перспективі, ускладнить експлуатацію конструкції імплантат-абатмент -коронки зняттям верхівки імплантату в придаткову носову пазуху.
Навіть при найвищому рівні індивідуальної гігієни конструкції з боку порожнини рота, оголена верхівка відкрита в зовнішнє повітряне середовище додаткової пазухи носа, неминуче буде цвів мікрофлорою носової порожнини.
У цій ситуації вона стає слабкою ланкою, при виникненні запалення, вона неможлива до сервісу, нездійсненна гігієна даної ділянки не хірургічними методами.
Застосування остеопластики уможливлює відновлення втраченої кількості кісткової тканини, і тим самим, є підготовчим етапом перед імплантацією зубів.
Існують і інші причини, що сприяють кістковим змінам, які виключають можливість міцного встановлення імплантату:
-атрофія кісткової тканини настає природним чином з віковими змінами
-потоншення кісткової тканини відбувається внаслідок тривалого користування протезів, що не відтворюють необхідну жувальну функцію.
На ранніх стадіях можливе використання коротких імплантатів. Крайнім випадком можна вважати наявність обсягу кісткової тканини з лінійним розміром висоти 7 мм, так як деякі фірми виробники пропонують укорочені серії імплантатів довжиною 6 мм.
При більшій пневматизації показаний закритий синус ліфтинг або м’який (soft) з доступом через канал ложа імплантату.
При наявному обсязі кісткової тканини менше 5 мм показаний відкритий синус ліфтинг – пластика дна верхньощелепної пазухи з доступом-перфорацією передньої стінки пазухи.
При відстані між кортикальними пластинками дна пазухи і вершиною альвеолярного відростка менше 3 мм, трофічна функція кісткової тканини не зможе забезпечувати регулярне постачання пластичними елементами, клітинами, сформувати повноцінне кровопостачання, необхідні для ремодулірування матеріалу, його оссифікації в повному обсязі, окостенінні і формуванні міцних властивостей необхідних для виконання жувального навантаження.
Закритий синус ліфтинг характеризується як менш травматично хірургічне втручання.
Суть цієї операції полягає в формуванні доступу через гребінь альвеолярного відростка в місці передбачуваного встановлення імплантату.
Через утворений отвір в каналі ложа імплантату, проводиться відшарування і підняття мембрани гайморової пазухи (мембрани Шнайдера).
Після підняття мембрани отриманий простір між дном гайморової пазухи і мембраною заповнюється остеотропним матеріалом.
Імплантат впроваджується в це, вже підготовлене ложе після введення матеріалу.
Методика підняття мембрани Шнайдера забезпечує установку і стабільність імплантату, за допомогою збільшення товщини нижньої стінки верхньощелепної пазухи.
Для маніпуляцій при відкритому синус лифтингу доступ здійснюється через передню стінку гайморової пазухи.
Операція відкритого синус ліфтингу включає кілька етапів.
Для створення доступу до кортикальної платівки проводиться розріз слизових м’яких тканин до кістки.
Потім, слизисто-окисний клаптик відшаровується і відкидається, відкриваючи латеральну стінку кістки верхньощелепної пазухи.
За допомогою ультразвукового хірургічного скалера з іригації фізрозчином створюється отвір в бічній стінці гайморової пазухи у вигляді віконця овальної форми довгасте в передньо-задньому напрямку.
Використовуючи ультразвук і рясну іригацію лікар-хірург проводить акуратне відшаровування віджиманням мембрани Шнайдера.
За допомогою спеціального шприца остеотропний матеріал вводиться в утворений простір між дном гайморової пазухи і мембраною Шнайдера.
Під час заповнення новоствореної порожнини кістковозаміщуючим матеріалом особливу увагу лікар хірург приділяє недопущенню утворення пустот і забезпечення щільного співставлення матеріалу зі стінками кістки.
Для екранування від зростання епітелію кісткова рана перекривається мембраною, ретельно викроюється і підганяється під розмір перфораційного отвору.
Після ушивання м’яких тканин, щоб уникнути відторгнення імплантату необхідний час для повної інтеграції, ремодуляції і осифікації (окостеніння) остеотропного матеріалу.
Традиційно вважається, що повний цикл репаративного остеогенеза (регенерація кісткової тканини) становить півроку, але виробники остеоіндуктівних матеріалів повідомляють про формування необхідної механічної міцності тканин через 4 місяці.
Таким чином, на цьому терміні доречно проведення рентгенологічного обстеження з метою визначення обсягу сформованих тканин, їх рентгенологічної контрастності і щільності, тобто ступенем мінералізації і придатності до установки імплантатів.
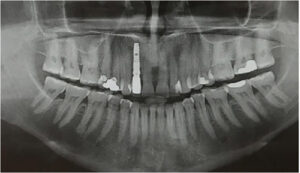
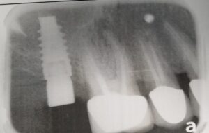
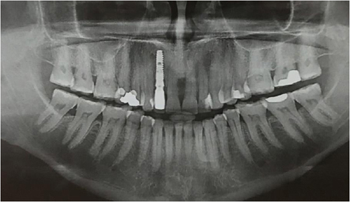
КТ діагностика ротової порожнини
Комп’ютерна томографія зубів – досконалий метод дослідження, який дозволяє лікарю визначати параметри будови зубощелепної системи, що дає більше інформації про аномальні патології. Це відносно нова методика діагностики в галузі стоматології. Але незважаючи на це, за короткий проміжок часу вона стала широко прийнятною.
Комп’ютерна томографія дозволяє отримувати тривимірні знімки щелепи і зубів. Завдяки цьому можна з великою ймовірність визначити точну проблему і призначити ефективне лікування. КТ дає можливість зрозуміти, що відбувається всередині зубів. Томографія стала невід’ємною частиною лікування серйозних травм щелепи, коли, в прямому сенсі її необхідно зібрати по частинах. Метод знайшов своє місце в усіх галузях стоматології.
Основними показаннями до даної діагностики є протезування і лікування деяких хвороб. Вона може бути застосована для імплантології, ендодонтії, пародонтології, ортодонтії та гнатології.
- У імплантології КТ необхідно зробити виміри щелепи, для установки імпланта.
- Ендодонтії потрібен цей метод для встановлення характеру запальних процесів всередині зуба, кореня і каналів, також для оцінки якості пломбування та визначення кількості каналів.
- Парадонтологія і ортодонтія потребують КТ для оцінки запалення ясен.
- У гнатологіі КТ визначає відхилення в скронево-нижньощелепний області.
Механічні пошкодження. Травмовану щелепу завжди необхідно детально обстежити за допомогою томографа. Навіть якщо у пацієнта немає скарг. Роздроблення коренів зубів може протікати безболісно, якщо його вчасно не визначити в подальшому загрожує повна втрата зубів.
Патології розвитку зубощелепного апарату. У таких випадках, комп’ютерну томографію призначають завжди, щоб визначити чи здатні зуби витримати навантаження від брекетів.
3d моделювання. Комп’ютерна томографія може відтворювати не тільки діагностику, а моделювати детальну будову кісткових тканин ротової порожнини. 3д моделювання відтворює точну конструкцію, таку як лінгвальний прозорий елайнер, для правильного лікування.
Комп’ютерна томографія протипоказана вагітним жінкам в першому триместрі, людям з клаустрофобію і непосидючим на одному місці пацієнтів.
Процедура - АР
Технологія PRF, повна назва Platelet Rich Fibrin – це технологія, при якій у пацієнта береться кров, потім центрифугується і з неї виходить багата фібрином плазма, якиа активує так звані фактори росту, які знаходиться в крові. Фібрин – це високомолекулярний білок, який впливає на процеси регенерації і запобігання запалення. Коли ми використовуємо технологію PRF, фібрин сприяє виділенню максимальної кількості чинників росту. Важливо відзначити, що ця технологія пройшла безліч досліджень і офіційно визнана медичним співтовариством.
Існують два види PRF.
- Перший вид A-PRF – густий фібрин, його використовують в стоматології при різних хірургічних операціях.
- Другий вид I-PRF – рідкий фібрин, коли ми отримуємо його незгорнувшим, тобто багата фібрином плазма ще рідка, але буквально через 2-3 хвилини застигає. Якраз за цей час потрібно встигнути її використати. Рідкий фібрин, тому і називається I-PRF ( Injection (ін’єкція)) і широко використовується як в косметології та стоматології, так і в цій сфері медицини. Введення рідкого фібрину в проблемну зону завжди допомагає загоєнню, швидкому відновленню і регенерації ран.
Густий фібрин, А-PRF, виходить в чистих скляних пробірках без будь-яких добавок, що дозволяє виключити будь-які реакції, в тому числі і алергічні, з приводу його призначення. Застиглий фібрин гарантує відсутність запалення після видалення зуба. Коли ми видаляємо зуб і закладаємо туди фібриновий згусток, в 100% випадків не буде запалення кістки і лунки зуба і вже через два-три місяці повністю відновлюється кісткова тканина і можна встановлювати імплантат. Також ця технологія дозволяє поєднати видалення і імплантацію, коли видаляється зуб, поставили імплантат і відразу навколо нього обкладається фібрином – все прекрасно і швидко заживає. Використовується для пластики м’яких тканин, коли закривається рецесія ясен. Фібрин – одна з найважливіших технологій в хірургії. Вона дозволяє уникнути ускладнень і забезпечує швидке ефективне загоєння рани. Його необхідно завжди і всюди використовувати – шкоди від цього ніякої не буде, тільки користь, це власна кров пацієнта. Головне підібрати для його отримання правильну пробірку. На жаль, деякі стоматологи, щоб заощадити, купують пластикові пробірки з активаторами згортання крові. Так, виходить фібрин, але гіршої якості, там немає потрібної кількості факторів росту, тому ці згустки будуть менш ефективні.
Рідкий фібрин I-PRF. Це технологія, при якій фібрин ще не згорнувся, тому ми можемо набрати його в шприц. Якщо для отримання A-PRF ми використовуємо скляну пробірку, то для I-PRF ми використовуємо пластикову пробірку без всяких наповнювачів, так як плазма в ній не згортається. Там немає ніяких антикоагулянтів, ніяких добавок, головне правильно підібрати центрифугу і дотримуватися технологію. При цьому відбувається природне утворення фібрину без зайвих і непотрібних процесів і добавок. Це найефективніша і безпечна процедура, де використовується тільки найчистіший матеріал – власна кров пацієнта. Якщо говорити про стоматологію, то ми вводимо фібрин в ясна. Це готує їх до операції і сприяє кращому загоєнню. Якщо є пародонтит, то фібрин допоможе його вилікувати, головне все робити в комплексі. Необхідно провести чистку, прибрати зубний наліт і камені і потім вже вводити I-PRF – він стимулює ріст судин і загоєння пройде набагато швидше. Також його можна використовувати при кістковій пластиці, адже фібрин відмінно застигає і може оперативно склеювати кістковий матеріал.
Лікарі СТОМАТОЛОГІЇ ЖУРАВЛИНА завжди підберуть правильне лікування згідно міжнародних стандартів медичної допомоги в залежності від Вашої клінічної ситуації. Ми використовуємо індивідуальний комплексний підхід , враховуючи стан ротової порожнини та здоровя організму вцілому. У нас Ви отримаєте професійну консультацію та необхідну допомогу. Спеціалісти СТОМАТОЛОГІЇ ЖУРАВЛИНА складають план лікування на ефективність в довгостроковій перспективі, враховуючи фактори зовнішнього впливу та внутрішнього середовища організму.








