Статті

Гранульома зуба. Причини виникнення та методи лікування

Гранулема зуба – результат діяльності бактерій і хронічного запалення тканин, що оточують зубний корінь. Джерелом інфекції можуть бути: нелікований пульпіт – запалення м’яких зубних тканин; в повному обсязі запломбовані, що містять хвороботворні мікроорганізми кореневі канали; запалені тканини періодонта (періодонтит); травма зуба, зокрема, його розлам. До розвитку запалення можуть бути чинники, [...]

Більше

Корисний та шкідливий вплив на емаль зубів

Для підтримки зубів у хорошому стані, одного щоденного догляду за порожниною рота може не вистачити, тому слід також приділити належну увагу своєму харчуванню. Все, що ми їмо, контактує з нашими зубами і, на жаль, часто має негативний вплив. Тому щоб кабінет стоматолога відвідувати якомога рідше, а посмішка залишалася чарівною протягом [...]

Більше

Причини неприємного запаху ротової порожнини та методи лікування

Повітря, яке видихається зі здорової порожнини рота з інтактними зубами або без зубів, при нормальних умовах не має запаху. Про запах з рота, або смердюче дихання (foetor ex ore, halitosis) ми говоримо, якщо при видиханні відчувається неприємний запах з рота або сморід. Хворий часто і не помічає цього, якщо він [...]

Більше

Оптимальний вік дитини для відвідування ортодонта

Часто люди соромляться своєї усмішки. Причиною цього може стати неправильний прикус або ж нерівні зуби, які дуже часто з фізіологічних недоліків ризикують перетворитись у психологічні проблеми і комплекси. Аби цього не сталось, лікування дефектів розвитку зубів варто починати якомога раніше Рекомендую звернутись за консультацією до спеціаліста уже з чотирьох років, [...]

Більше

Причини виникнення клиновидних дефектів зубів та методи їх корекції

Сучасні тенденції поліпшення гігієни порожнини рота і вдосконалення системи профілактики стоматологічних захворювань привели до того, що число пацієнтів стоматології «Журавлина», яким вдається зберегти зуби до похилого віку, помітно зросла. Одночасно спостерігається значний спад поширеності карієсу у більшості населення. Все це збільшує частоту народження некаріозних уражень зубів, що виникають після прорізування, [...]

Більше

Який протез кращий – акриловий чи нейлоновий?

Незважаючи на стрімкий розвиток стоматології та досягнення в галузі профілактики захворювань щелепно-лицевої ділянки, імплантології, і лікуванні стоматологічних захворювань, число пацієнтів стоматології «Журавлина», які потребують протезування знімними ортопедичними конструкціями зубних протезів, залишається високим, і з віком тільки зростає, у зв’язку з наростаючими темпами старіння суспільства планети. Серед причин, що обумовлюють високу [...]

Більше

Фактори ризику виникнення основних стоматологічних захворювань у дітей

Фахівці стоматологічної клініки «Журавлина» стверджують, що положення про фактори ризику виникнення захворювань має вирішальне значення в профілактиці. Суть його полягає в тому, що ймовірність виникнення захворювань варіює у різних людей, але частіше за все вони виникають у людей з факторами ризику. Такі фактори включають в себе особливості структури, фізіології, спадковості [...]

Більше

Сучасні методики відбілювання зубів

У сучасному світі зовнішній вигляд зубів має велике значення. Красиві білі зуби – це не тільки ознака гарного здоров’я, а й елемент культури, символ благополуччя і успіху. Для багатьох пацієнтів колір зубів визначає естетику посмішки більшою мірою, ніж розташування в зубній дузі. Індивідуальний природний колір зубів головним чином визначається дентином, [...]

Більше

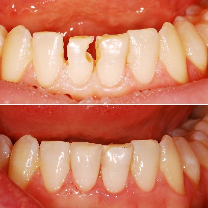
Реставрація передньої групи зубів

Чи достатньо тільки очищення і відбілювання зубів для того, щоб посмішка стала ідеальною? На жаль, не завжди. Візуальні дефекти на поверхні зуба – досить поширене явище. Найчастіше зуби руйнуються в результаті ураження їх карієсом. Серед причин виникнення цього захворювання – незбалансоване харчування, неправильний догляд за зубами, нерегулярні відвідування стоматолога і [...]

Більше

Реставрація жувальних зубів

Що можуть запропонувати стоматологи клініки «Журавлина» для відновлення жувальних зубів? Все залежить від умов, наявних в ротовій порожнині. Якщо бічний зуб зруйнований незначно, можна обмежитися прямою реставрацією за допомогою пломбувальних матеріалів. Якщо ж руйнування значні (більш 1/2 зуба), потрібно виготовити вкладку (або накладку). Що це таке? По суті, вкладка – [...]

Більше
X