Загальна інформація

Відбілювання зубів

Реставрація зубів

Вініри

Люмініри

Відбілювання зубів

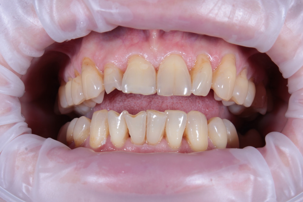
У сучасному світі зовнішній вигляд зубів має велике значення. Красиві білі зуби – це не тільки ознака гарного здоров’я, а й елемент культури, символ благополуччя та  успіху. Для багатьох пацієнтів колір зубів визначає естетику посмішки в більшій мірі, ніж розташування в зубному ряді. Індивідуальний природний колір зубів головним чином визначається дентином, але на нього впливають колір, прозорість, товщина і ступінь мінералізації емалі.  Блакитний або рожевий відтінок емалі доповнюється розташованим глибше  дентином, який може варіювати від жовтого до коричневого. Так формуються різні колірні варіанти норми. Будь-які зміни в дентині та емалі під час формування, розвитку і після прорізування зуба можуть викликати зміни світлопровідних  властивостей і отже зміну кольору.

Причини зміни кольору зубів різноманітні. Виділяють зовнішнє і внутрішнє знебарвлення.

Зовнішнє знебарвлення відбувається в результаті місцевого впливу ряду факторів на тканини зуба, при цьому хромогени розташовуються зовнішньо (на поверхні зуба).

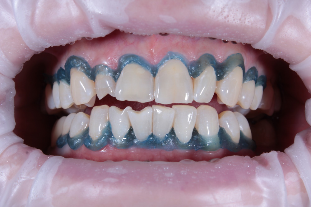
Внутрішнє знебарвлення відбувається або в результаті системного впливу на організм людини, хромогени розташовуються в тканинах зуба (зазвичай в дентині); або є результатом захворювань ендодонта Методи корекції зміни кольору зуба чисельні. Відбілювання зубів як неінвазивний спосіб поліпшення естетики особливо «привертає» лікарів стоматологів та їх пацієнтів. Сучасні системи відбілювання засновані на використанні препаратів пероксиду водню або перекису карбаміду в поєднанні з активуючими факторами. Відбілюючі речовини застосовують зовнішньо або поміщають всередину порожнини зуба при відбілюванні депульпованих зубів. В обох випадках прагнуть відбілити хромогени всередині дентину, таким чином змінюючи основний колір зуба.

Заходи щодо зміни кольору зубів залежать від естетичних потреб пацієнта. Показання до проведення відбілювання є відносними.

Встановлено, що не в кожному випадку гарантований результат, достатній для задоволення естетичних бажань пацієнта. В цілому показання і протипоказання для офісного (кабінетного, професійного) відбілювання і для домашнього відбілювання загальні. 

Виділяють:

 зовнішнє відбілювання

 відбілювання депульпованих зубів (внутрішнє).

Лікар приймає рішення, який спосіб краще підходить для кожного клінічного випадку. Іноді найбільш доцільно поєднання методик (змішане відбілювання)

  • колір поряд розташованих зубів різний
  • вікова зміна кольору зубів
  • фарбування від харчових продуктів (чай, кава);
  • флюороз
  • тетрациклінова зміна кольору;
  • зміни кольору депульпованих зубів
  • до- і післяреставраційне лікування 
  • завищені очікування пацієнтів
  • карієс
  • ендодонтичні хвороби
  • захворювання періодонта в період загострення
  • вагітність і період лактації
  • чутливість зубів, тріщини і оголений дентин
  • коронки або великі реставрації в зоні посмішки
  • ортодонтичне лікування
  • видима рецесія і оголені пігментовані корені зубів
  • важкі загальні захворювання пацієнтів
  • алергічні реакції пацієнта на використовувані препарати

Лікарі СТОМАТОЛОГІЇ ЖУРАВЛИНА завжди підберуть правильне лікування згідно міжнародних стандартів  медичної допомоги в залежності від Вашої клінічної ситуації. Ми використовуємо індивідуальний комплексний підхід , враховуючи стан ротової порожнини  та здоровя організму вцілому. У нас Ви отримаєте професійну консультацію та необхідну допомогу. Спеціалісти СТОМАТОЛОГІЇ ЖУРАВЛИНА складають план лікування на ефективність в довгостроковій перспективі, враховуючи   фактори зовнішнього впливу та внутрішнього середовища організму.

X