Реставрація жувальних зубів
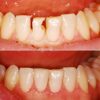
Що можуть запропонувати стоматологи клініки «Журавлина» для відновлення жувальних зубів? Все залежить від умов, наявних в ротовій порожнині. Якщо бічний зуб зруйнований незначно, можна обмежитися прямою реставрацією за допомогою пломбувальних матеріалів. Якщо ж руйнування значні (більш 1/2 зуба), потрібно виготовити вкладку (або накладку).
Що це таке? По суті, вкладка — це та ж пломба, тільки вкладка, як і вінір, зроблена не в роті у пацієнта, а в зуботехнічній лабораторії. Тобто, вкладка відноситься до непрямого способу реставрації. Для того щоб різниця між пломбою і вкладкою стала більш зрозуміла, є сенс порівняти пломбу і вкладку з композитних матеріалів (хоча відразу обмовимося, що вкладки можуть виготовлятися з різних матеріалів, в тому числі з кераміки і різних металів).
Безсумнівною перевагою вкладок перед пломбами є те, що вкладки в кілька разів міцніше пломб. Це пов’язано з тим, що технологія виготовлення вкладок в стоматології «Журавлина» передбачає обробку композитних матеріалів в лабораторних умовах. За допомогою вкладки, виготовленої в лабораторії, простіше забезпечити правильні контактні пункти — технік на моделі може зробити це точніше, ніж лікар в момент виконання прямої реставрації. А правильні контакти між сусідніми зубами і зубами-антагоністами (тобто, тими, які розташовані на протилежній щелепі), формування правильного жувального рельєфу — найважливіші складові реставрації, що впливають на термін її служби.
Наприклад, часто пацієнти стоматології «Журавлина» скаржаться, що між зубами застряють волокна їжі, а відбувається це тому, що не були виставлені правильні контакти між зубами. Здавалося б, дрібниця? Але саме ця «дрібниця» згодом може привести до розвитку карієсу або до утворення зубодесневої кишені. Врешті-решт, в плані зовнішнього вигляду вкладки не програють (а в багатьох випадках і виграють) в порівнянні з прямими реставраціями.
Досвід стоматології «Журавлина» показує: в цілому якість вкладки, виготовленої в лабораторії, вища, ніж якість пломби, виконаної безпосередньо в порожнині рота. Вкладка відмінно служить пацієнтам протягом багатьох років: на цих зубах не буває рецидивів карієсу, вони краще очищаються, контактні пункти не порушуються.
Якщо зуб зруйнований дуже серйозно, для його відновлення можна використовувати поодинокі коронки. Які матеріали застосовуються для цієї мети в клініці «Журавлина»? У передньому відділі зубів виграшніше всього виглядатиме керамічна (порцелянова) коронка, оскільки її властивості — колір, текстура, напівпрозорість — найбільш близькі до властивостей природних зубів. Природно, колір будь-якої протезної конструкції, будь то одинична коронка, мостовидний або знімний протези, повинен максимально відповідати кольору власних зубів. Якщо Ви хочете, щоб Ваші зуби були більш світлими, то тут, так само як і у випадку з реставраціями, рішення про відбілюванні зубів потрібно прийняти до, а не після установки коронок.
Металокераміка виглядає менш естетично. Чому? Справа в тому, що метал, який складає основу металокерамічної коронки, робить її непрозорою, і якщо мова йде про одиничну коронку, то при певному світлі вона видає себе на тлі власних зубів. В даний час металокераміку використовують в основному або для реставрацій зубів в бічному відділі (там, де вимоги до міцності вище, ніж вимоги до естетики), або при виготовленні мостовидного протеза великої протяжності.
Останнім часом для виготовлення коронок в стоматології «Журавлина» застосовується новий матеріал — оксид цирконію. Завдяки властивостям матеріалу основа коронки з оксиду цирконію має білий колір, володіє світлопроникною здатністю, тому зуб, на який надівається така коронка, виглядає природно і естетично.
Технологія виготовлення таких коронок, в порівнянні з традиційними, дещо інша. Основа під коронку НЕ виплавляється, а випилюється. Лазерний сканер зчитує форму моделі майбутніх коронок і фіксує їх у комп’ютерній програмі, де потім і моделюється каркас необхідної форми. Потім, згідно з заданою програмою, з цільного блоку оксиду цирконію здійснюється фрезерування коронки спеціальним апаратом. В результаті виходить точна конструкція коронок, що відрізняється високою міцністю і бездоганною естетикою.
В даний час за допомогою цієї технології в стоматології «Журавлина» виготовляються або поодинокі коронки, або мостовидний протез. Тут ми хотіли б звернути увагу на один важливий момент. У кожної людини всередині зуба існує анатомічна порожнину (пульпарна камера, або порожнина зуба), всередині якої знаходиться судинно-нервовий пучок — пульпа. У різних людей розмір цієї камери може варіювати. Якщо порожнина зуба має значний розмір, то при обточуванні зуба під коронку його стінки стають зовсім тонкими і можуть ламатися. У таких випадках проводиться великий додатковий етап роботи.
Стоматологи-терапевти клініки «Журавлина» розкривають порожнину зуба і депульпують зуб. Далі кореневий канал розширюють до певного діаметра — так, щоб в нього встав штифт потрібної товщини, після чого канал герметизують. Потім до роботи підключається ортопед, який робить відбитки з кореневих каналів, в зуботехнічній лабораторії фахівці моделюють і відливають штифти з головкою заданого діаметра. Ці штифти встановлюють в корені зуба. Згодом на головку надягають штучну коронку. При наявності в зубі двох і більше каналів необхідно виготовляти складніші (розбірні) штифти.
Слід враховувати: матеріал, який застосовується в стоматології «Журавлина» для виготовлення коронки, визначає вибір штифта. Так, наприклад, коронка з безметаллової кераміки вимагає установки штифта і головки з матеріалів, що володіють світлопропускною здатністю. Тільки в цьому випадку відновлений зуб буде виглядати красиво і природно.
Здорової та естетичної Вам усмішки!
 
                             
             
	
